
ArticlePDF
Résumé « Spontaneous late-onset myoclonic epilepsy in cats: 15 cases (2015-2023) »
par T. Liatis , A. Karpozilou, A. De StefaniIl y a 58 jours

ArticlePDF
Résumé : « Adverse Drug-Drug Interaction Between Phenobarbital and Fluconazole in Two Dog »
par . Jaramillo, A. Mondino, M. Court , M. Lewis, N. Olby, K. MuñanaIl y a 58 jours

ArticlePDF
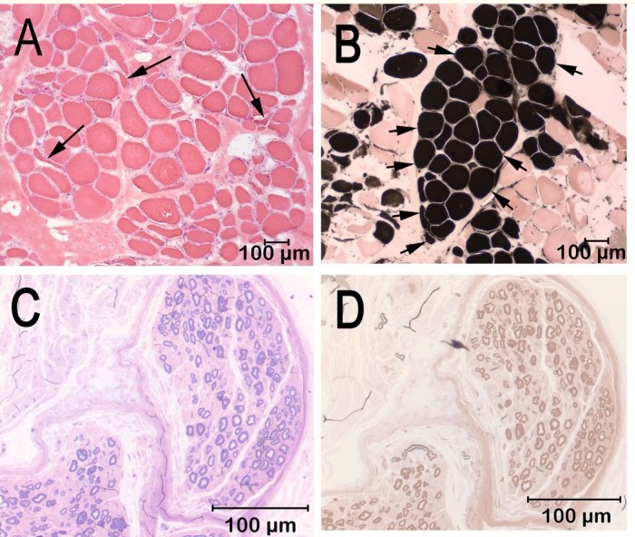
Résumé « A CNTNAP1 Missense Variant Associated With Laryngeal Paralysis and Polyneuropathy in Young Great Dane Dogs »
par . Shelton, M. Carpentier, L. Kimura, L. Guo, K. MinorIl y a 58 jours

ArticlePDF
Résumé « Nasal Stimulation Response in Neurologically Normal Dogs and Cats »
par T. Elvira, T. Sparks , J. Guevar, V. Aige , R. Gutierrez-Quintana , J. BrocalIl y a 89 jours
Gagnez un temps précieux grâce à nos outils en Neurologie.
Conduites à tenir4
Neurologie




Conduite à tenirPDF
Proposition de prise en charge du status epilepticus
par S. PiazzaIl y a 664 jours
Neurologie
Conduite à tenirPDF
Propositions de traitements antiépileptiques
par S. PiazzaIl y a 1121 jours
Neurologie
Conduite à tenirPDF
Les molécules utilisées pour la gestion de l’épilepsie
Il y a 1134 jours
Neurologie
Conduite à tenirPDF
L’épilepsie en consultation
par L. CauzinilleIl y a 1134 joursAccès libre
E-learning3
Neurologie



e-Learning
Le bromure en épileptologie vétérinaire
par L. CauzinilleIl y a 1120 jours1h
Neurologie
e-Learning
En neurologie, évitez les prises de tête grâce aux examens de biologie
par C. CoisnonIl y a 1123 jours1h
Neurologie
e-Learning
Prise en charge de l’épilepsie : consensus – éviter les pièges
par S. PiazzaIl y a 1128 jours2h
Articles16
NeurologieArticlePDF
Résumé « Spontaneous late-onset myoclonic epilepsy in cats: 15 cases (2015-2023) »
par T. Liatis , A. Karpozilou, A. De Stefani
Il y a 58 jours
NeurologieArticlePDF
Résumé : « Adverse Drug-Drug Interaction Between Phenobarbital and Fluconazole in Two Dog »
par . Jaramillo, A. Mondino, M. Court , M. Lewis, N. Olby, K. Muñana
Il y a 58 jours
NeurologieArticlePDF
Résumé « A CNTNAP1 Missense Variant Associated With Laryngeal Paralysis and Polyneuropathy in Young Great Dane Dogs »
par . Shelton, M. Carpentier, L. Kimura, L. Guo, K. Minor
Il y a 58 jours
Spécialité
Explorer tous les contenus en ophtalmologie.
Explorer
Spécialité
Explorer tous les contenus en gastro-entérologie.
Explorer
Spécialité
Explorer tous les contenus en arthrose.
Explorer
Spécialité
Explorer tous les contenus en toxicologie.
Explorer
Spécialité
Explorer tous les contenus en Anxiété.
Explorer




