Neurologie
Article PDFIl y a 201 jours
Résumé « A CNTNAP1 Missense Variant Associated With Laryngeal Paralysis and Polyneuropathy in Young Great Dane Dogs »
par . Shelton, M. Carpentier, L. Kimura, L. Guo, K. Minor
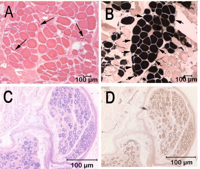
INTRODUCTION Le syndrome clinique de paralysie laryngée et de polyneuropathie (LPPN) touche plusieurs chiens de grandes et très grandes races, avec des signes cliniques d’apparition précoce et tardive. Il est difficile de classer précisément ces polyneuropathies cliniquement, car leur présentation est similaire. L’examen neurologique confirme une faiblesse des motoneurones inférieurs, les examens électrodiagnostiques sont compatibles avec une perte axonale, et les biopsies musculaires et nerveuses confirment un schéma de dénervation dans les biopsies musculaires, avec une dégénérescence axonale évidente dans…
Télécharger les PDF associés à ce contenu

Inscrivez-vous.
Retrouvez l’intégralité des contenus réalisés en collaboration avec des spécialistes et adaptés à votre pratique.
Articles associés
Chargement
Gagnez un temps précieux grâce à nos outils.
Ophtalmologie
Atlas Iconographique
ConsulterNeurologie
Calculateur Soliphen®
UtiliserNeurologie
Carnet de suivi des crises épileptiformes
TéléchargerOphtalmologie
Documents de suivi de prescription
TéléchargerNeurologie
FAQ Epilepsie
RechercherNeurologie
Formulaire crises convulsives pour ASV
TéléchargerNeurologie
Formulaire d’anamnèse en épilepsie
TéléchargerOphtalmologie
Formulaire d’examen ophtalmique
TéléchargerOphtalmologie
Œil 3D
UtiliserNeurologie
Résumés bibliographiques
Lire les résumésOphtalmologie
Veille bibliographique
Lire les résumésOutil partenaire
ZAG
Découvrir

